
Thursday, January 22, 2026
6:05 PM
There are words no one ever wants to hear. Especially those of us who have already heard them once.
“This is concerning for malignancy.”
They arrived not from a doctor’s mouth, but via the patient portal, delivered with surgical precision by a system apparently immune to the subtle art of empathy.
Let’s be clear. I have been out of chemo and active cancer treatment long enough that routine scans had become background noise. Scheduled. Expected. Boring, even.
Until December.
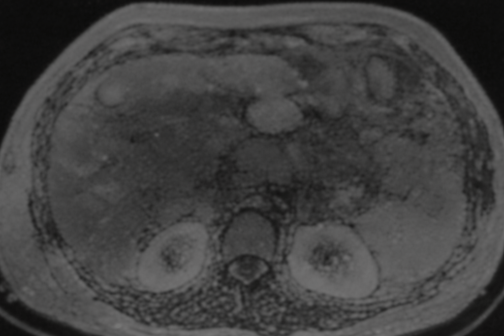
My final CT scan before moving to once-a-year monitoring showed irregularities. Then my tumor markers, both of them, spiked above normal. Just enough to get everyone’s attention.
Out of an abundance of caution, and with absolutely no financial restraint, my oncology team ordered the full lineup. MRI. PET/CT. More bloodwork. Not because they knew something was wrong, but because they could not responsibly assume nothing was. The good news is I already hit my out-of-pocket maximum for the year two weeks into January.
I am a “give it to me straight” kind of woman. I like my answers immediate and unvarnished. So imagine my irritation when I had to wait five additional days for the PET/CT results.
I got the results today. Once I read them, I understood the delay.
Several areas were flagged. And then the sentence no survivor reads casually.
“This is concerning for malignancy. Biopsy could be obtained for further evaluation.”
To say that hit hard would be an understatement.
I am not an oncologist. I am not medically trained. But I do know recurrence statistics. And I know my history. I had Stage 2A cholangiocarcinoma that was completely undetectable one month before my Whipple procedure and that insidious bastard had grown to five centimeters in just thirty-two days.
That kind of knowledge never leaves you. It does not fade with time. It just waits quietly in the corner until something like this invites it back into the room.
My follow-up appointment with my oncologist is Monday.
That is a long time to sit with your own thoughts. Long enough for every rational reassurance to be drowned out by the one persistent, unhelpful, but brutally honest conclusion that keeps looping in my head.
Cancer sucks.

Leave a comment